Before and After
Your Smile Is Our Passion
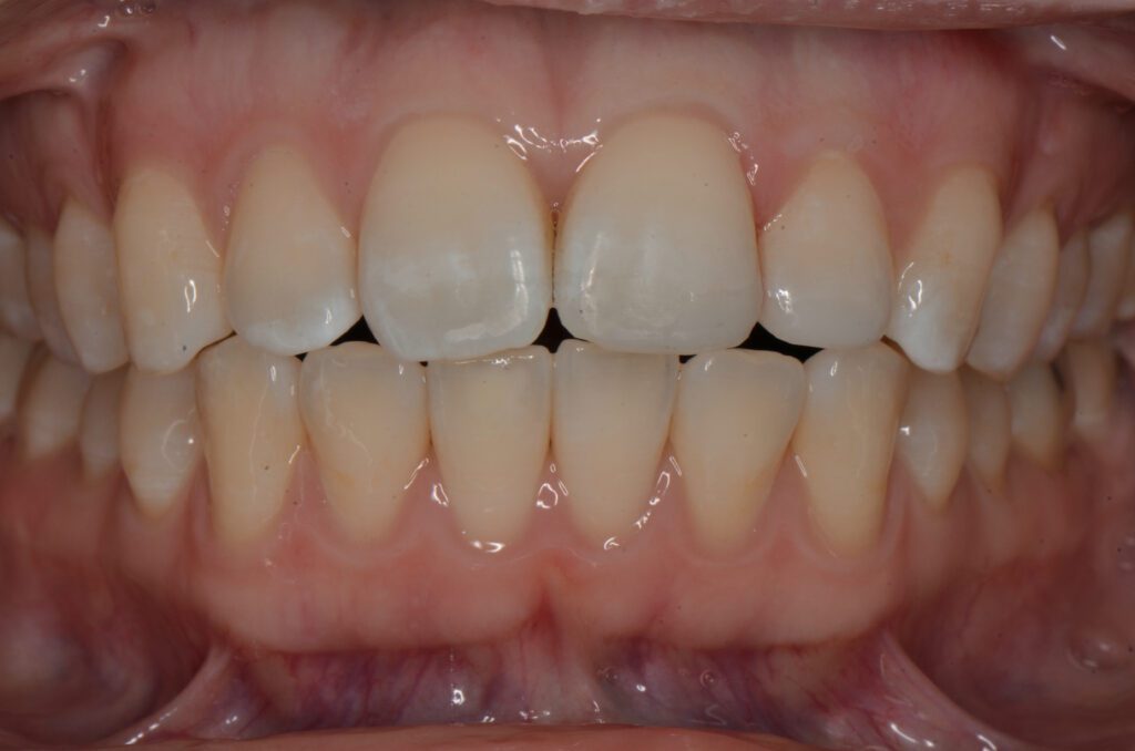
Instructions: On desktop, click and drag the white circle to the left and right in each photo to see the before and after transformations! For mobile, simple touch the white circle and drag with your finger.
Before
After


Before
After


Before
After


Before
After


Before
After

